لوگو

لینک های سریع

صفحه اصلی

ثبت آگهی رایگان

قوانین و مقررات

تماس با ما

تعرفه ثبت آگهی ویژه

نمایندگی ها

شعبه مرکزی تهران

اخذ نمایندگی

صفحه اصلی

تمام حقوق مادی و معنوی این وب سایت متعلق به پیام اول می‌باشد .

طراحی و توسعه توسط ::::Haririan.com

صفحه اصلیدندانپزشکی

ارتودنسی در افسریه

ارتودنسی در افسریه دندانپزشکی
ارتودنسی در افسریه

ارتودنسی در افسریه

ارتودنسی در افسریه
 




ارتودنسی  دکتر جهانبخشی در افسریه

09392062890-02177438526

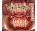
مقدمه این روش درمانی برای اصلاح مشکلات شدید اسکلتی و دندانی که در سنین رشد مراجعه نکرده و یا قابل درمان نبوده‌اند،‌ معمولاً در انتهای دوره بلوغ انجام می‌شود. دراین روش همکاری ارتودنتیست و جراح فک و صورت الزامی است و لذا می‌بایست بیمار قبل از شروع درمان توسط ارتودنتیست و جراح معاینه شده و پس از بررسی و تعیین طرح درمان نسبت به شروع درمان اقدام گردد.
 

 با بیش از 17 سال سابقه در زمینه دندانپزشکی 
 ساعات کاری:شنبه :15 الی 20
یکشنبه: 15 الی 20
دوشنبه : 15 الی 20
سه شنبه: 15 الی 20
چهارشنبه :15الی 20
پنجشنبه : 10 الی 13
جمعه: تعطیل

09392062890-02177438526

نقشه / اطلاعات تماس
آدرس  : 

ادرس:خیابان پیروزی روبروی متروی نیروهوایی(روبروی خیابان چهارم نیروهوایی) جنب پمپ بنزین مقداد پلاک ۱۶۸ طبقه دوم واحد۴

تلفن  : 

02177438526

موبایل  : 

09392062890

ایمیل  : 

Mosavi.zahra@gmail.com

کلمات کلیدی

ارتوسرجری در افسریهبهترین ارتوسرجری در افسریهمتخصص ارتوسرجری شفاف در افسریهقیمت ارتوسرجری در افسریهارتوسرجری ارزان در افسریه