لوگو

لینک های سریع

صفحه اصلی

ثبت آگهی رایگان

قوانین و مقررات

تماس با ما

تعرفه ثبت آگهی ویژه

نمایندگی ها

شعبه مرکزی تهران

اخذ نمایندگی

صفحه اصلی

تمام حقوق مادی و معنوی این وب سایت متعلق به پیام اول می‌باشد .

طراحی و توسعه توسط ::::Haririan.com

صفحه اصلیدندانپزشکی

ارتودنسی فوری در شرق تهران

ارتودنسی فوری در شرق تهران دندانپزشکی
ارتودنسی فوری در شرق تهران

ارتودنسی فوری در شرق تهران

ارتودنسی نامرئی در شرق تهران
 

09392062890-02177438526
ادرس:خیابان پیروزی روبروی متروی نیروهوایی(روبروی خیابان چهارم نیروهوایی) جنب پمپ بنزین مقداد پلاک ۱۶۸ طبقه دوم واحد۴

دکتر جهانبخشی ،
متخصص ارتودنسی و ناهنجاریهای فک و صورت
 
با بیش از 17 سال سابقه در زمینه دندانپزشکی 
 ساعات کاری:شنبه :15 الی 20
یکشنبه: 15 الی 20
دوشنبه : 15 الی 20
سه شنبه: 15 الی 20
چهارشنبه :15الی 20
پنجشنبه : 10 الی 13
جمعه: تعطیل

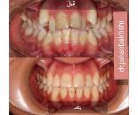
متاسفانه گاهی در تبلیغات دندانپزشکی دیده می شود که از لمینیت برای مرتب کردن دندانها استفاده می شود و چون این کار در عرض چند ساعت انجام می شود نام ارتودنسی فوری بر آن می گذارند.یعنی دندانهای سالم را تراش می دهند و با اضافه کردن کامپوزیت ،آنها را مرتب جلوه می دهند.در حالیکه دندانهایی که تا این حد تراش بخورند قطعا در آینده نیاز به کشیدن خواهند داشت.

 

09392062890-02177438526

نقشه / اطلاعات تماس
آدرس  : 

ادرس:خیابان پیروزی روبروی متروی نیروهوایی(روبروی خیابان چهارم نیروهوایی) جنب پمپ بنزین مقداد پلاک ۱۶۸ طبقه دوم واحد۴

تلفن  : 

02177438526

موبایل  : 

09392062890

ایمیل  : 

mosavi.zahra@gmail.com

google-mapwazeبلدنشان

کلمات کلیدی

ارتودنسی نامرئی در شرق تهرانبهترین ارتودنسی نامرئی در شرق تهرانمتخصص ارتودنسی نامرئی در شرق تهرانقیمت ارتودنسی نامرئی در شرق تهرانارتودنسی نامرئی ارزان در شرق تهران